Grad se guši u smogu, grad nema niti 1 modernu garažu, 2/3 grada nema centralno, cinkarna i TE nas ugušiše…
Foto: Mostarka dr. Svjetlana Tišma-Dupanović izvela revolucionarnu operaciju srca na Floridi

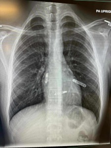
Prije nekoliko dana je u američkoj saveznoj državi Floridi izvedena revolucionarna kardiohirurška intervencija koja će ući u medicinsku historiju. Naša Mostarka, dr. Svjetlana Tišma-Dupanović, kardiologinja i pedijatrica, uspješno je pacijentu ugradila dvokomorni pejsmejker direktno u srčane šupljine — u pretkomoru i komoru — koji sinhronizovano stimulišu pravilan rad srca.





Ovo je prva takva operacija izvedena na Floridi, a ujedno predstavlja veliki napredak u liječenju bolesti srca, posebno za pacijente sa poremećajima srčanog ritma i slabijom pumpnom funkcijom srca.
Ko je dr. Svjetlana Tišma-Dupanović
Dr. Tišma-Dupanović rođena je u Mostaru, a diplomirala je medicinu na Univerzitetu u Sarajevu 1987. godine. Nakon toga se posvetila pedijatriji i kardiologiji, te postala jedna od najcjenjenijih stručnjakinja u oblasti pedijatrijske elektrofiziologije — grane medicine koja se bavi poremećajima srčanog ritma kod djece i adolescenata.
Danas obavlja funkciju direktorice Službe za elektrofiziologiju pri Nemours Children’s Hospital u Orlandu (Florida), gdje vodi tim koji se bavi implantacijom naprednih srčanih uređaja i istraživanjem novih terapijskih tehnologija.
Edukacija i stručno usavršavanje
–Doktor medicine (M.D.) – Univerzitet u Sarajevu, Bosna i Hercegovina (1987)
–Pripravnički staž: Interna medicina / Pedijatrija – Regionalni medicinski centar „Dr. I. Lubijankić“ (1988)
- Specijalizacija (Residency):
- Pedijatrija – Icahn School of Medicine at Mount Sinai (2002)
- Regionalni medicinski centar „Dr. I. Lubijankić“ – Kantonalna bolnica (1992)
- Uže specijalizacije (Fellowship):
- Pedijatrijska kardiologija – University of Rochester Medical Center (2005)
- Klinička kardijalna elektrofiziologija – University of Rochester Medical Center (2007)
- Pedijatrijska kardijalna elektrofiziologija – Hospital for Sick Children, University of Toronto (2006)
- Odbori i certifikati (Board Certifications):
- Američki odbor za pedijatriju – Opšta pedijatrija
- Američki odbor za pedijatriju – Pedijatrijska kardiologija
Osim bogate kliničke prakse, dr. Tišma-Dupanović je autorica brojnih stručnih radova i predavačica na međunarodnim kongresima. Govori više jezika: engleski, bosanski/hrvatski/srpski, te napredno njemački i francuski.
O samoj proceduri
Tradicionalni pejsmejkeri postavljaju se ispod kože grudnog koša, a žice prolaze kroz vene do srca. Nova tehnologija, koju je primijenila dr. Tišma-Dupanović, omogućava direktnu ugradnju uređaja unutar srca — bez žica koje prolaze kroz krvne sudove. Ovaj dvokomorni (biventričularni) pejsmejker sinhronizuje rad pretkomora i komora, čime se postiže pravilniji ritam i veća efikasnost pumpanja krvi.
Prednosti ovakvog pristupa su brojne:
-Manji rizik od infekcija i mehaničkih komplikacija (nema prolaska žica kroz vene).
-Brži oporavak i manja invazivnost.
-Poboljšanje srčane funkcije kod pacijenata sa srčanom slabošću ili blokadama u provodnom sistemu.
-Dugoročna stabilnost i preciznija kontrola rada srca.
U medicinskoj terminologiji, ovakav zahvat spada u “srčanu resinkronizacijsku terapiju” (Cardiac Resynchronization Therapy – CRT), koja koristi više stimulacijskih tačaka za postizanje optimalne kontrakcije srčanog mišića.
(TIP/Izvor: bhfuturesfoundation.org/Foto: FB)
Ostavite komentar
Vaša email adresa neće biti objavljena
NAPOMENA: Komentari odražavaju stavove njihovih autora, a ne stavove Tip.ba. Molimo korisnike da se suzdrže od vrijeđanja, psovanja i vulgarnog izražavanja. Zadržavamo pravo na provedbu cenzure ili potpuno brisanje komentara bez najave i objašnjenja. Zbog velikog broja komentara, naš portal nije dužan pravovremeno obrisati sve komentare koji krše pravila. Kao čitalac također prihvatate mogućnost da među komentarima mogu biti pronađeni sadržaji koji mogu biti u suprotnosti sa vašim vjerskim, moralnim i drugim načelima i uvjerenjima. Čitatelji registrovani u sistemu za komentare prethodne platforme mogu se registrovati ili prijaviti putem DISQUS, Facebook, Twitter ili Google+ korisničkih računa, koristeći novi, gore predstavljeni obrazac.